
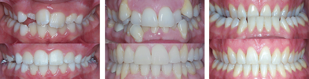
The mission of Great Smiles Pediatric Dentistry & Orthodontics is to provide the highest level of specialty care in a comfortable environment to achieve outstanding results. At Great Smiles, we’re proud of the results we deliver and think these smiles speak for themselves.
Dr. Hydo and Dr. Miller are masters at transforming your smile into the one you want in the most comfortable and efficient way possible. Everyone deserves to have a confident, beautiful smile and we achieve this for patients every day. Whether it’s through expanders, braces or Invisalign® / 3M™ Clarity™, you can trust Great Smiles to bring out your best possible smile.

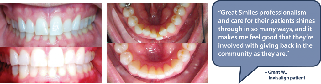
For adults who have never had orthodontic treatment before, not knowing what to expect is enough for them to put treatment off for years or decades. Some adults who went through orthodontics when they were younger (and perhaps didn't properly wear their retainer) have an image in their head of outdated treatment technology and want to avoid it at all cost. Fortunately, Great Smiles provides a variety of treatment methods and technologies so that patients get a treatment plan their most comfortable with. While standard, minimal brackets are most practical adult orthodontic patients, many opt for clear aligner treatment (ie. Invisalign® / 3M™ Clarity™ treatment). Clear aligner treatment is the most subtle way to perfectly align a person’s teeth.
Click here to check out how clear aligner treatment (Invisalign® / 3M™ Clarity™) helped one of our adult patients get the smile they always wanted while allowing him to maintain his confidence throughout treatment.

